Mayo 1 de 2013.
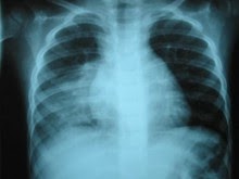
La reducción de los niveles de vitamina D vinculados a pneumonia Un breve informe publicado en línea el 17 de abril de 2013, de la Revista de Epidemiología y Salud Comunitaria revela un efecto protector de los niveles más altos de vitamina D con el riesgo de desarrollar neumonía.
![]() |
| Neumonia. |


Publicar un comentario